
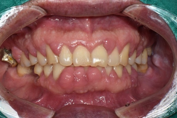
성인형 치주염은 가장 흔한 치주질환이다. 청년기에 시작되고 치료를 하지 않으면 평생 진행된다. 35세 이전까지는 임상적으로 덜 중요하다. 여성 및 남성에서 비슷하게 나타난다. 골 흡수가 천천히 진행되어 수평적인 파괴가 일어난다.
이 질환의 시모는 직접적으로 치태와 치석의 치아에 대한 부착과 관련이 있다. 치주조직의 파괴율은 질환의 활성도 및 환자의 면역에 따라 변화 할 수 있다. 그리고 성인형 지주염은 전신질환이나 숙주방어와는 무관하다.30세 이후에 매우 흔하게 나타나는 질환으로 치아가 발치될 때까지 천천히 진행된다. 성인형 치주질환의 진행은 부착소실을 일으키는 주기적 활성도를 가진다. 이 질환은 세균성 치태로 인해 생기며 국소적으로 교원섬유가 파괴된 부위에 부착소실이 일어난다. 병의 활성도는 치료나 자연적인 방어기전에 의해 숙주저항이 병의 진행을 조절할 때 감소한다. 실제로 치주염의 활성도를 측정하기는 어렵다. 가장 신뢰할만한 방법으로 치주 부착의 소실을 기록하는 방법이 있다. 이 소실은 CEJ에서부터 치주낭의 바닥까지 거리를 재는 것이다. 측정시에는 정확한 탐침기록을 요구한다.
이 병은 미국 치주학회에서 추천했듯이 병의 정도에 따라 다시 몇 가지로 나뉠 수 있는데 치과보험 및 치료계획에 매우 중요하다. 치주병의 임상증상을 통해 환자의 상태에 대한 정확한 정보를 보험 관리자에게 전달할 수 있다. 즉 성인형 지주염을 경도, 중등도, 중증 진행성으로 분류하면 더 정확한 치료계획을 세울 수 있다. 몇몇 환자는 복합된 형태를 보이는데 경도나 중등도인 환자에서 한군데 이상이 심한 부착소실을 보이는 심한 형태의 치주질환이 있을 수 있다.
미국 치주학회는 또한 치은염과 재발성 치주염도 분류했다. 이 분류법으 의사소통과 치료계획 측면에서 유용하나 그 분류가 애매하고 특정 치주감염을 명확하게 규정을 짓지 못한다. 치과의사와 치과위생새를 이한 환자를 성인형 치주염으로 평가하기 위한 다른 분류법이 제안되었다. 부착소실을 바탕으로 한분류법은 성인형 치주염의 파괴정도를 결정하는 데 유용하다.
치주질환을 분류하는 확인요소는 탐침깊이가 아니라 골파괴를 타나내는 CEJ로 부터 측정되는 부착소실이다. 이 개념을 치과위생사는 꼭 기억해야 한다. 치주낭의 탐침깊이는 깊은 낭을 적절하게 닦을 능력을 크게 감소시키기 때문에 매우 중요하다. 게다가 홈, 구 그리고 분지부를 포함한 복잡한 치근형태에 대한 기구조작이 필요하다. 치근표면의 기구조작은 매우 어려워서 치아의 예후도 나쁘기 때문이다. 치주질환의 심도는 파괴된 치주인대 및 골소실의 양과 관련이 있다. 지초정은 정확히 CEJ에서 시작하지는 않고 건강한 경우에도 1~2mm정도 근단으로 이동되어 있다. 방사선 사진이 골소실 정도를 파악하는데 이용된다.
경도나 중등도인 성인의 치주염인 경우 일반적인 치과진료를 통해 치료가 가능하다. 이 때는 치과위생사가 치료의 주 역할을 담당한다. 그러나 중증의 경우는 치료의 주요 부분이 치과위생사에 의해 시행되더라도 환자는 전문가에게 평가를 받아야 한다. 이러한 접근방법에 의해 모든 질환의 증상은 치주과의사로 하여금 진단 및 치료계획을 세우는데 도움을 주는 것이 분명 할 것이다.
성인형 치주염은세균 복합체에 의한 질환으로 주요 원인균들 중 폴피로모나스진지발리스가 가장 흔히 검출되는 박테리아종이다. 치주질환의 세균성 진단이 연구되고 있으나 세균성 치태에 대한 완벽한 이해가 아직 미흡하기 때문에 세균성 진단보다는 임상소견이 치주질환을 분류하는 데 더 좋은 방법으로 잠아있다, 성인형 치주염의 상당한 많은 경우가 p진지발리스나 치주병인이 없이도 나타났다.
치주염에서 복합적인 치태는 혼합감염을 유발시킨다. 항생제는 보통 혼합감염의 치료에 적절하지 않다. 왜냐하면 혼합감염의 치료 목표는 모든 박테리아의 박멸이라기보다는 염증기를 진행시키지 않고(초기화상태 유지)치태를 적게 만드는 것이기 때문이다. 건강관련 치태는 주로 스켈링이나 치태제거 등의 물리적 제거에 의한다.
모든 성인형 치주염은 치료시 국소 원인인자의 제거를 필요로 한다. 개인의 치태조절 및 환자의 자가관리에 대한 교육이 필요하다. 치과위생사는 모든 치태 및 치석을 제거하고 흡연등의 관련 요인을 제거해야 한다. 중등도에서부터 진행성 치주염의 경우 부착소실이 증가됨에 따라 완벽한 치석의 제거가 어렵다. 치주수술과 같은 부가적 과정이 요구된다.
*1형:치은염-색의 변화, 치은형태, 위치, 외관 그리고 출혈 또는 삼출물이 관칠되는 치은의 염증
2형:초기 치주염-치은염증이 더욱 심화되어 치주조직으로 파급되며 약간의 치조골 흡수가 관찰된다. 약간의 결체조직 부착소실과 치조골 소실이 나타난다.
3형:중등도 치주염-치주염의 심화된 단계 치주파괴가 더욱 진행되고 치조골 지지가 감소되기 시작한다. 치아동요도는 증가되기 시작한다. 분지부 병소가 있을 수 있다.
4형:중증 진행성 치주염-치주염이 더욱 진행되며 치조골 파괴가 심하다. 치아동요도가 심해지며 분지부 병소가 심해진다.
5형:난치성 치주염-적절한 치료후에 부착소실이 계속 진행된다. 다발성 병소를 보인다. 이들 병소는 계속적으로 치주 세균에 감염된다. 적은 부위의 병소를 가지는 환자에게서도 적용되는 항목이다.